卫生部最新建议:这些人打第4针疫苗!奥密克戎后遗症全球首曝光
前天,新加坡又有一个新加坡部长确诊!

社会及家庭发展部长兼卫生部第二部长马善高
越来越多小伙伴发现,身边前2年没中新冠病毒的人,今年都中了!中过一次的人,又中了第二次! 眼看着7月疫情反扑在即。
很多人开始关心第4针疫苗加强针要怎么打。 现在,新加坡卫生部官方回应来了!
疫情反扑,新加坡第4针开跑
卫生部最新建议:这些人也适合接种
截止到6月21日,新加坡78%人口打完第三针追加剂。
但从过去这个月开始,第4针疫苗接种已经开跑。
尤其是近日新加坡日增病例攀升,卫生部长预测的7月疫情反扑在即,很多符合第4针施打条件的人,都行动了!

目前,官方建议50岁到59岁的人,如果打完第3针已满5个月,则可以到本地任一mRNA疫苗接种中心打第4针。
那么除了50岁以上的人,其他人什么时候打第4针。
而新加坡卫生部则是于6月4日,更新官网消息,建议以下这三类人打第4针:
1)打完3针的科兴、国药疫苗的接种者
官方建议接种时间:打完第3针后满3个月。

建议接种的疫苗种类, 12-17 岁的个人接种辉瑞-BioNTech/Comirnaty 疫苗。
18 岁及以上的个人,建议接受辉瑞-BioNTech/Comirnaty疫苗或莫德纳/Spikevax 。
2)打完3针辉瑞、莫德纳等mRNA疫苗已满5个月的人

3)身体免疫力底下的人
12岁及以上建议接种第4针,暂不建议接种第5针。
如果是5到11岁,则暂时建议第3针就行。

另外,大家也要注意啦。
从前天开始,新加坡10大联合检测+疫苗接种中心都在运营!
具体地点如下 (后遗症直接下滑至后文)
【1】裕廊东(Jurong East)中心
位置:前树群中学Shuqun Secondary School
地址:450 Jurong East Street 21 S(609604)

【2】巴西立(Pasir Ris)中心
位置:前实乞纳中学Siglap Secondary School
地址:10 Pasir Ris Drive 10 S(519385)

【3】加基武吉(Kaki Bukit)中心
位置:勿洛北中学Bedok North Secondary School
地址:20 Jalan Damai S(419612)

【4】碧山(Bishan)中心
位置:前碧苑中学Bishan Park Secondary School
地址:2 Sin Ming Walk S(575565)

【5】联邦通道(Commonwealth)中心
位置:前教育部文物中心 MOE Heritage Centre
地址:402 Commonwealth Drive S(149599)

【6】宏茂桥(Ang Mo Kio)中心
位置:前ITE
地址:4300 Ang Mo Kio Ave 5 S(569869)

【7】红山(Bukit Merah)中心 位置:前新加坡考试与评鉴局中心大楼
地址:8 Lower Delta Road S(169198)

【8】义顺(Yishun)中心
位置:义顺巴士转换站(Yishun Bus Interchange)
地址:20A Yishun Central 1 S(768830)

【9】兀兰(Woodlands)中心
位置:兀兰巴士转换站(Woodlands Bus Interchange)
地址:3A Woodlands Square S(737735)

【10】盛港(Sengkang)中心 位置:前学前中心former pre-school
地址:60 Sengkang East Way S(548596)

以上中心除了
【4】碧山以外,皆可以提供辉瑞-BioNTech/复必泰(Pfizer-BioNTech/Comirnaty)疫苗和莫德纳/Spikevax疫苗。 以及做核酸PCR跟抗原快速检测ART。
碧山地点,疫苗选项无莫德纳/Spikevax,但有诺瓦瓦克斯产的Nuvaxovid疫苗可接种。
目前来看,卫生部对于第4针的态度是可打,但看自愿,处于建议阶段。
那么打还是不打呢?
这就要看医生建议,以及自己是否符合卫生部建议施打资格。
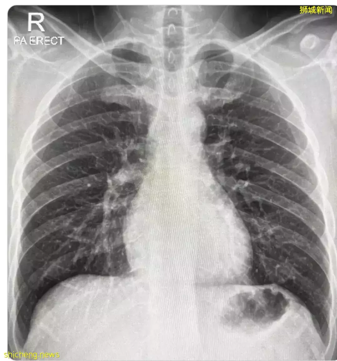
跟大家聊到大马男子依沙克的遭遇。
2021年12月,他打完3针疫苗,没打过第4针。5月底确诊新冠后,不断咳嗽,从湿咳变成干咳,到最后身体受不了去医院。

医生建议他做一个肺部X光。
没想到,照出来肺部竟然有轻微结疤,意味着肺脏受到损伤并开始纤维化。

依沙克大惊,他这3针新冠疫苗也不是随便乱打,而是特地选择据称能发挥疫苗保护力高达25倍的混种疫苗组合。
他的遭遇在网上引发了更多讨论,网友关心什么才是最佳疫苗组合,毕竟很有可能接下来要打第4针。
以及打完3针疫苗后感染新冠,却还是症状、后遗症不断的讨论。
经历越扒越令人心惊......
打完3针疫苗,确诊痊愈还有问题!
新加坡更多人有新冠后遗症
依沙克的遭遇并不是个例。
有人跟他有同款经历,晒出了跟他类似的肺部X光照片。
一般情况下,正常人的肺部断层扫描应该要呈现黑色,代表充满空气,但是曾经发炎并留下疤痕组织的肺则会是一片白色。
且肺不像其他器官一样能够再生,因此这些疤痕恐怕会伴随病人的一生。”

或者是跟他差不多,虽然打完了全部疫苗,但有个别症状从新冠感染开始一直持续到痊愈之后的生活。
比如咳嗽跟呼吸短促问题。
“我今年20多岁,已经完成全部疫苗接种流程,但我还是得了2次新冠。我第二次中新冠之后,就开始一直咳嗽了,特别是每天清晨那会。我现在连洗冷水澡都不行,也不能喝冰水,或者长时间在室内吹冷气。”

“我是5月底才中的,但我痊愈后两个礼拜一直在咳嗽。有时候还伴随着呼吸困难跟胸痛。我年龄差不多快奔三十了。结果生活已经不能像以前一样跑步、游泳,因为我的呼吸很急促。很容易感到累,现在感觉还是不中比较好。”

“我是今年2月那会中的新冠。一直到现在我还在咳嗽,尤其是早上跟晚上。我也是没办法在空调房里待很久。现在我都怀疑自己是不是哮喘了,因为真的可以听到我胸腔的呼吸声。已经4个月了,我因为怀孕没敢去照X光。”

“吓到我了。我现在自我隔离第4天,已经咳嗽2周了,就跟你一样,现在开始从湿咳变成了干咳。”

“我讨厌咳嗽,我还特地去买了喉糖,希望吃了能缓解一下。我是到了晚上临睡前30分钟咳得很厉害。”

事实上,疫苗接种者反应确诊新冠,痊愈后出现长期后遗症的情况越来越多。
比如Jillian,今年37岁。新加坡宝妈,家中3个娃,职业是兼职教师跟艺术家。
她在今年2月感染新冠。中病毒之前,她平均每周爬山一次。
但自2月痊愈之后,她开始做什么都力不从心,主要体现在体力下滑严重。
早餐后得打盹,不能熬夜,作息不正常。最夸张的一次,她整晚失眠,用了3天才缓过来。
Jillian意识到自己的生活方式彻底改变。每天体力有限,只能一天天慢慢恢复。

jillian | 图源:海峡时报
跟她有着类似遭遇的,还有Anne。
她也是在今年2月感染新冠,在此前她的体力足以完成14公里的徒步。
结果痊愈后,为了恢复,她还得再找回医生咨询。
从4月开始恢复到现在,初见成效:每周能锻炼2次,一次10分钟。
此外,她自个儿心态也有点崩。
因为新加坡的新冠病例有百多万人,有的人中了没事,有的人中了就是会有后遗症,而她就属于后者。

Anne | 图源:海峡时报
据本地媒体海峡时报,6月1日消息:
在新加坡,越来越多人出长期新冠后遗症,相应的身体监测、医疗服务需求正在增加。
早从今年3月起, IHH Healthcare医疗集团增开一门生意,即帮那些痊愈后,但有长期新冠后遗症的人评估身体状况。
比如检查肺、心脏功能等等。
伊丽莎白医院亚洲心脏与血管中心的心脏病专家 Edgar Tay透露:
他每周会诊治2个出现长期新冠症状的患者,最常见的是疲劳、胸痛、呼吸困难和心悸。
今年来求医的患者,明显比去年多。
据官网信息,在新加坡一次长期新冠检查至少321新元起,约合1500多人民币。

这还只是检查费用,还没有算上看诊、康复治疗费用等等。
今年2月起,国大医院和黄廷芳综合医院都增设长期新冠康复部门。看诊时间从之前的每月1次,增加到每两周1次,现在是每周1次。
所以就如网友所说:
“如今长期新冠已经是很常见的了。新冠病毒对人类来说还是有未知部分,这种情况下我们只能听从医嘱,希望早日恢复。

不可否认,尽管有疫苗的保护,但每个人感染新冠,以及是否出现长期新冠症状的几率,实则还是因个人体质而相异。
就在这几天,奥密克戎患者的长期新冠后遗症报告结果出炉了。
全球首曝光!奥密克戎也有后遗症 新加坡患者常见症状公布
近日,《柳叶刀》发表全球首个“确诊奥密克戎后是否会有长期新冠后遗症”的研究结果。
这项研究由英国伦敦国王学院主导开展,对比50000多个奥密克戎患者,跟40000多个德尔塔患者痊愈后的身体状况。
且全部患者都打完至少2针疫苗,有的打完3针。
初步结论是:确诊奥密克戎痊愈后,出现长期新冠后遗症的概率比德尔塔要低。

数据来源:柳叶刀 | 制表:上观
研究对象中,10.8%的德尔塔患者有后遗症。4.5%奥密克戎患者有后遗症,数量差不多是德尔塔的一半。
不过,因各人身体素质不一样,出现新冠后遗症的时间也不同。
另一项研究统计结果如下

如图,短期新冠后遗症一般持续3周以内。如确诊后呈现轻症,则集中发生在感染后的7-10天。
长期新冠后遗症可分2种: 后急性新冠后遗症,症状持续时间为3到12周。
慢性新冠后遗症,症状持续时间超过12周。
新冠后遗症持续时间有长有短,可以肯定的是,如果持续时间越长,则后遗症症状就越多。
如果患者出现症状持续12周内,则平均患有11种症状,集中在确诊后第二周出现。
如果超过12周还没有康复,则确诊后第二个月,后遗症数量将达到峰值,平均17种。

参照英国的状况,截止2022年5月1日,英国200万人有新冠后遗症,占人口3.1%,总病例的9%。
其中,高达42%的患者长期后遗症情况持续至少1年,19%的人至少2年。
至于长期新冠症状,奥密克戎患者的症状暂未有一个系统数据,但从网友的反应来看,咳嗽,乏力,呼吸短促比较多。
哈佛公共卫生学院早前统计过,新冠后遗症症状可达203种,涉及系统性感知、生殖系统,泌尿系统和内分泌系统、心血管疾病、肌肉骨骼、免疫系统、消化系统等等。
其中,最为常见的5种后遗症分别为极度疲惫(58%)、头痛(44%)、注意力障碍(27%)、脱发(25%)与呼吸障碍(24%)。
新加坡常见新冠后遗症症状 新加坡医生观察到本地长期新冠患者情况,一般发生在感染新冠后的四周内,且症状持续。
国家传染病中心的医师Barnaby Young
观察到患者:疲劳、嗜睡、疲倦、“脑雾”和注意力不集中、咳嗽和呼吸急促。

国大医院医师Lim Jeong Hoon
观察到患者:没有明确的器官损伤,但病人表现出疲劳、呼吸困难和心悸。部分人出现头痛、失眠、焦虑、抑郁或失去味觉或嗅觉。
私人诊所医师Edgar Tay
观察到患者:长期患有疲劳、胸痛和心悸,其他症状还有耳鸣、关节疼痛和胃肠道症状,如腹泻和食欲不振。
从医生跟专家们的意思来看,目前对于长期新冠后遗症,没有专门药物,或者特定疗法。 不过国际科学家们认为打疫苗,可以算得上是一个有效助力。


号称迄今为止,最大的疫苗对后遗症影响的研究结果如下:
最早的那批新冠患者,在第一次接种疫苗后,嗅觉丧失(-13%)、听力下降(-9%)和睡眠不佳(-9%)。
在第二次接种疫苗后,疲劳(-10%)、头痛(-9%)和睡眠不佳(-9%)。
从上述数据来看,疫苗对缓解后遗症似乎是有效果的。不过实际情况还是建议咨询医生~
评论