限时福利!万万没想到,在新加坡看牙竟有这样的体验
在新加坡看牙
是一种什么样的体验?
说起这个话题
很多人都会有点烦恼~
“在新加坡看牙是不是很贵?”
“不会说中文不方便吧?”
“孩子牙齿有问题,去哪看?”

很多人还坐飞机
回国去看牙、治牙
其实,也用不着那样地“劳民伤财”
看看一位椰友在新加坡
看牙的体验吧
新加坡看牙,是一种什么样的体验?
说起看牙,大家总是很焦虑
很多人都建议我回国
别说没有那么多假期
这牙疼起来根本就不等人
等不及了,就去了一家
同事推荐的牙医诊所
抱着忐忑心情去的
结果体验还不错

环境
说起看牙,很多人都有
一些不太好的儿时回忆
在冰冷潮湿的小诊所里面
听着钻头滋滋作响?
这家诊所却完全不同
环境敞亮干净
挺舒适的,让我放松不少

中文服务
像我这个蹩脚英文
每次去诊所都害怕遇到
不会中文的医生
这家诊所的人员都中文流利
事先就加了经理微信沟通
细节都咨询敲定好了
方便和放心不少

*牙科团队
设备先进
这里真是颠覆了我记忆中
敲敲打打的补牙记忆
在仔细检查和问诊过后
在非常高端舒适的牙椅上
接受相应的治疗
在大屏幕可以看到
牙齿拍片的详情
小朋友也能看动画片

性价比高
结账的时候心情还是
有一点小忐忑
结果,补牙和问诊才花了
100新币左右(*价格因情况而异)

种草了这家牙医诊所
准备带孩子来矫正牙齿
推荐给大家!
西海岸牙科
这位网友说了
在这家牙科看诊整体的体验:
先从就医体验来讲
医疗过程无痛苦
最重要的是高层次的心理层面
感到舒适有尊严
西海岸牙科
West Coast Dental
西海岸牙科最初在西海岸,现在在滨海湾广场。地点升级,环境升级,但价位还是十分接地气。
完善的设备,领先的技术还有专业的服务,让这家诊所在新加坡,尤其是华人圈有着很好的口碑。
一站式的牙科体验,还是专业的中文团队进行沟通服务,卓越的表现让每一位客户,都能够微笑而归。

主治医师经验丰富
尤其擅长绑牙和植牙
林医生于1989年毕业于新加坡国立大学的牙科学院。1992年开始经营牙科诊所,拥有超过28年从业经验。
1995年林医生移居中国,在北京工作了14年。非常了解中国患者的需求和情况。他尤其擅长牙齿矫正和植牙,深受患者的信赖。

牙科服务
Dental Service
看牙科,最怕的就是“讳疾忌医”
在遇到问题和小毛病时
不给予重视的话
严重了就非常的困扰生活
再进行治疗也会面对
更加繁琐的治疗过程和昂贵的花费

一起来看看西海岸牙科
有着哪些服务吧?
最近小仙女椰友们
都听说过这个理论吧~
牙齿矫正 ≈ 整容?
为什么要矫正牙齿?
大多数人矫正牙齿
还是为了美观
尤其是在小的时候
一口歪牙会令人缺乏自信
“失去笑容”

而且,不单单是为爱美
箍出整齐的牙齿
也能够有助保护牙齿功能
因为牙齿歪斜不整齐
食物容易残留不容易清洁
可能会造成蛀牙等问题

多大可以矫正牙齿?
牙齿矫正不分年龄
越早矫正越早“脱胎换骨”
一般来说12岁
就可以开始进行矫正
如果是有前牙反合
还有前牙深覆蓋的问题
也就是上兜齿、下兜齿
8-9岁是矫正最佳年龄
箍牙的人不限小孩和青年
在新加坡,有超过一半的
牙齿矫正者是成年人

如何矫正牙齿?
矫正牙齿的方式有很多种
有人追求经济性,有人追求美观
各种需求人群有
不一样的解决方案
在我们的一般的印象中
矫正牙齿就是带牙套
其实,说的就是托槽牙套
方法一:托槽牙套
这种托槽,是最传统的矫治器
分为自锁和传统两种
是我们最常见的那种“牙套”
托槽和弓丝都固定在牙齿外侧
一露牙就能看到

特点:适用范围最广
性价比最高

比起传统的普通托槽
现在更多人选择自锁托槽
自锁托槽
1、安全:对软组织的保护,自锁托槽可以有效地避免对软组织的破坏,佩戴起来也更加的安全。
2、体验:绑牙周期相对较短,复诊周期长。
3、舒适:自锁托槽由于摩擦力低,使用细微的轻力来实现牙齿的移动,因此患者佩戴也比较舒适,能够减轻不适感与疼痛感。
4、保养:自锁托槽矫正在矫治过程中更有利于保持口腔卫生,有利于牙周组织的健康。没有结扎丝可以减少食物残渣的存留并更容易清洁干净。

方法二:隐适美
隐适美是一种借助
最新电脑科技制造出的
透明矫正器
远看过去成透明色
比起传统的金属牙槽,不仅美观
而且生物相溶性更好
佩戴起来摩擦力小
感觉更舒适
两种方式对比
两种方式对比下
更容易选择
时间:托槽牙套 两年
隐适美 两年
价格:托槽牙套 4000新币+
隐适美 7000-8000新币
其实,没有最好的方式
只有最适合你的方式
详情可以咨询医师了解更多~

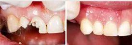
植牙,就是将人工牙根植入牙槽骨内
然后在人工牙根上方安装上瓷牙
被誉为继乳牙、恒牙后人类的
第三副牙齿

为什么要植牙?
人为什么需要“第三副牙齿?”
在牙齿无法拯救
牙根溃烂,牙齿受到严重侵蚀
只能拔除之后
植牙就成了补救方案

毕竟,没有牙齿,就连说话和
吃饭都会出现问题

植牙 VS 假牙?
随着科技的进步
假牙不再是大家在失去
牙齿后的唯一选择
做牙桥,缺一补三的方式
让很多人觉得有点麻烦
植牙科技日新月异
成了又一个不错的选择
植牙三部曲
1、植入人工牙根

2、固定基座

3、镶上牙冠

简单三部,就完成了一个
永久性植牙的技术操作
可谓“一劳永逸”
飞回去 VS 在新植?
很多人会为了看牙
折腾回家,节省看牙的开支
但是,在植牙这件事上
您可以放心的省去机票钱
在西海岸牙科做
理由一:他们选用的材料是
全球公认的最好的植体之一
第二,医生有24年植牙经验
耐心温和

Straumann Holding AG(Straumann,士卓曼) 是口腔种植、修复及组织再生领域的全球领导者,也是世界上首颗一段式种植体的发明者。
公司总部位于瑞士,Straumann植体的制造材料为Roxolid,为目前市面上与骨结合效果最好、成活率最高的产品系列之一,可适应各类型骨环境。
截至2017年3月,Straumann的产品和服务已通过自身渠道及分销商覆蓋全球70多个国家,累计生产销售种植体超过1700万颗。
牙冠是什么材料最好呢?
植体成功植入后
这个工作做好了一半
牙冠的质量也非常重要
那么哪种材料最好呢?专家指出
现在最先进的
牙冠材料叫做“锆”
二氧化锆
1、体验:牙龈边缘无黑线,无厚重感,无牙龈红肿出血现象。
2、色泽:与真牙相匹配的透光性,其色泽自然,修复体同健康牙齿浑然一体。
3、耐性:与金属烤瓷牙相媲美的抗压强度,完全不必担心瓷崩裂的现象。
4、反应:二氧化锆对牙龈无刺激、无过敏反应,很适合应用于口腔,避免了金属在口腔内产生的过敏、刺激、腐蚀等不良反应。

价格如何?
修复以及种植牙技术要求非常高
因此要选择专业的牙科医生
才能够顺利完“第三副牙齿”的顺利植入
在新加坡诊所植牙
价格在4000-5000新币左右
新加坡本地人和永久居民
可以用Medisave支付1250新币
可负担性很高

西海岸牙科的优势
优质的服务
多年从业经验
中文服务友好,性价比高等
成为在新华人圈中
口碑极高的一家诊所
现在还有业务看诊活动
大家不要错过哦~
西海岸牙科
评论