5岁宝宝突然变“老头”,家长们千万别再给孩子喝这个了!

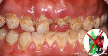
近日,某医院接诊了一个小男孩。妈妈牵着孩子的手,来到了口腔科,华华(华名)一张开嘴,在场的所有医生护士全部惊呆了。最恐怖的是,这个孩子嘴里光秃秃的,几乎看不到牙齿!

华华一共20颗牙,8颗牙烂的只剩下牙根,而且牙根现在全部变成了黑色。还有6颗牙都是齐根断了,孩子现在吃饭已经是个大问题了,根本无法咀嚼食物。
华华的牙齿怎么会变成这副摸样呢?从妈妈的叙述中,我们渐渐明白了事情的真相。

原来,华华一直是爷爷奶奶带大的。在他3岁那年,偶然一次机会,华华看见别人在喝可乐,于是也吵着要喝。这一喝就出事了,埋下了日后的祸根。自从喝上可乐以后,华华再也不肯喝水了,并且越来越严重,每天必须喝3瓶可乐,否则饭都不好好吃。
医生说道,华华这个病用专业术语来讲的话,称为“可乐牙”。

一般碳酸饮料含有大量的酸性物质,能溶解牙齿表面的珐琅质。试想一个5岁的孩子,牙齿的抗性能有多强?牙齿整天被泡在酸水里,日积月累,不出问题才怪!更可怕的是,牛奶和可乐含糖量都非常高。口腔里的细菌一遇到糖性物质便会发酵,产生对牙齿有害的酸性,会导致牙齿渐渐被腐蚀掉。
碳酸饮料对儿童的威胁1导致儿童贫血
碳酸饮料里的磷酸会影响铁的吸收,铁供应不足之后便会影响血液的产生,导致贫血。处于月经时期的少女尤其要注意,少喝碳酸饮料,多补充铁。此外,磷酸还会影响钙的吸收,进而影响孩子的骨骼发育,导致身高不能正常发育
2促儿童肥胖
碳酸饮料含糖量约在10%左右,一听355毫升的碳酸饮料含糖量大约为40克,每日摄入两罐碳酸饮料,就有320千卡能量。连续三个月就多摄入28800千卡能量,相当于增加脂肪4.1公斤。
3影响儿童大脑发育
很多碳酸饮料中都添加了咖啡因,也许对成人的身体并不会带来大的影响,但是孩子们如果常喝这种含咖啡因的饮料就会让孩子的精神长时间地处于一个兴奋的状态下,这对孩子的记忆力会造成很大影响,尤其是孩子们的大脑尚未发育完全,常喝碳酸影响会使孩子产生易暴躁的性格。
4导致骨质疏松
碳酸饮料会影响钙的吸收,除了对身高有影响之外,还会导致骨质疏松。尤其是对正在成长阶段的青少年来说,钙的摄入尤为重要,缺钙会影响骨骼发育,导致骨质疏松,很容易发生骨折等事故。
对此,你怎么看?
欢迎给小编留言!
觉得不错请点ZAN!
领导说了,
您点一个,
小编的工资就涨五毛!
这5篇文章你看了吗?
▶来新加坡久了,你都变这副德行了!
▶惊呆!从新加坡回了趟国,我都不会生活了...
▶从新加坡回国后我方了!原来中国物价才是世界最高?!
▶新加坡人竟然开不起车?真不是逗你玩儿!
▶海外华人:为什么我们不回国?

评论